Colegio Mexicano de Ortopedia y Traumatología

Colegio Mexicano de Ortopedia y Traumatología
CMO en linea....

miércoles, 15 de mayo de 2013

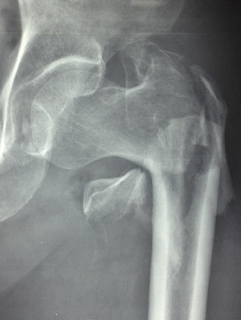
complex #hip #fracture


First case today: complex our plan: minimal invasive surgery with nail pic.twitter.com/5RwXacqLb1


No hay comentarios:

Publicar un comentario