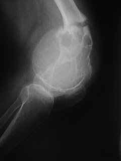
Nuestro 2° caso del día:
OOM
OOM
Ortopedia Oncológica México
Dr Ernesto Delgado
Ortopedista oncólogo
Medico adscrito en el Instituto Nacional de Rehabilitación SSA
drdelgado@hotmail.com
Un diagnóstico?
La respuesta en:
http://tumoresoseosenmexico.blogspot.mx/

No hay comentarios:
Publicar un comentario